news
发布时间:2022-11-24
面对当前严峻的疫情形势,重庆医科大学附属璧山医院(重庆市璧山区人民医院)肝胆胰外科团队快速响应、科学应对、精准管理,在对外开展有效疫情防控工作的同时,又对内有序地进行病人救治和重大四级手术的实施,切实保障了在院患者的医疗安全和医疗救治。
疫情期间医疗工作有条不紊
为降低疫情对住院患者诊疗的影响,确保医疗工作平稳有序,肝胆胰外科医护人员根据疫情最新形势,及时对住院患者和医务人员做好流行病学调查和统计,划分等级,严格落实各项疫情防控要求,并严格落实医师查房、护理查房、病房交接班等管理制度,加强科内人员对新冠肺炎防控知识的培训,最大限度兼顾疫情防控工作的进行,确保医疗安全和医疗质量。科室人员既要参与疫情防控工作,又要心系在院患者。每天及时查看患者病情,了解患者所想所需。切实做到站在患者的角度思考,朝着家属的期望努力,将心比心,换患者的舒心、放心、安心。
疫情防控与医疗救治两不误
病例一
41岁的患者颜某,2月前在体检检查中发现肝占位性病变,但并未给予特殊治疗,近日患者右上腹部隐痛不适频繁发作,遂来我院就诊。行腹部增强CT检查后,诊断为肝血管瘤,肝胆胰外科陶锐主任医师组织团队谨慎地讨论了颜女士的病情,经三维可视化重建技术将肿瘤行重建后,最终决定以腹腔镜的形式切除血管瘤。

(图示中红色部分为肝血管瘤所在位置及体积)

手术由陶锐主任医师主刀,带领安代红副主任医师、张超超主治医师,及麻醉护理团队,经过3个多小时的紧密协作,顺利将颜女士体内的血管瘤切除。
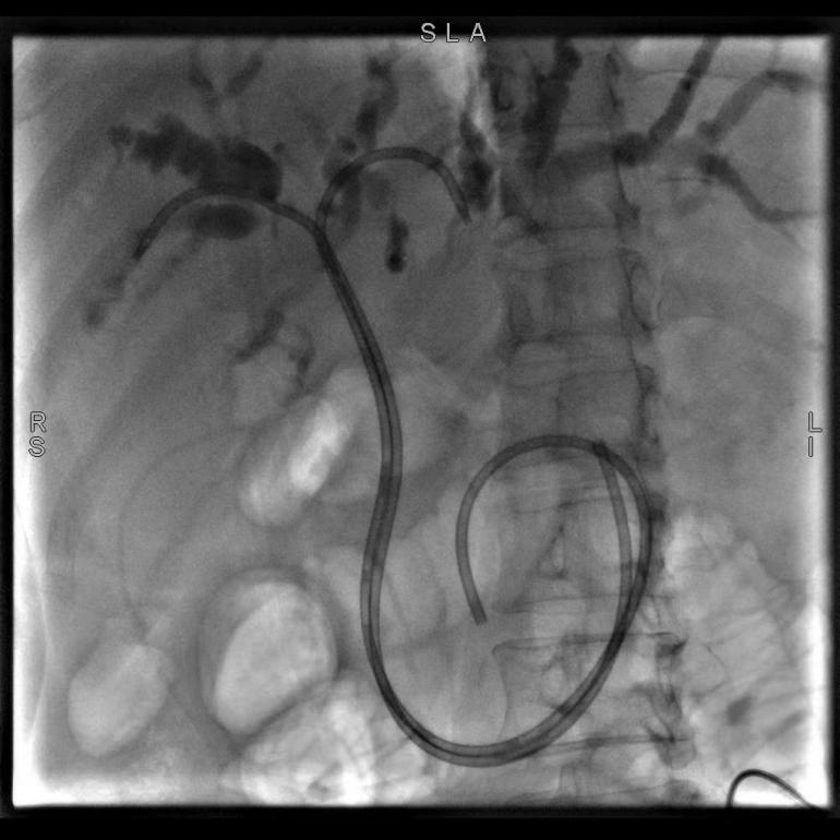
病例二
56岁的患者巫某,因“确诊结肠癌伴肝转移3年,皮肤巩膜黄染1周”入院,完善检查后,诊断为梗阻性黄疸、肝继发恶性肿瘤。陶锐主任医师组织团队在讨论了巫女士的病情后,决定实施ERCP+EST+ERBD术,术中主刀陶锐主任医师根据患者的病情置入了鼻胆管改良塑料支架,患者术后引流通畅,梗阻情况明显好转。

(图示为置入鼻胆管改良塑料支架)

病例三
60岁的患者文某,因“中上腹疼痛伴皮肤巩膜黄染、尿黄20天”入院,完善检查后,诊断为梗阻性黄疸待查,法特壶腹部恶性肿瘤:肝胆胰外科陶锐主任医师组织团队在讨论了文先生的病情后,决定实施胰十二指肠切除术。

(切除后的病理组织)
手术由陶锐主任医师主刀,带领安代红副主任医师、张超超主治医师,及麻醉护理团队,经过团队长达6个多小时的专业配合,手术取得圆满成功。