news
为积极响应国家《“十四五”规划建议》支持家庭承担养老功能的政策要求,深入研究失能老人及其家庭在不同生命周期阶段所需的社会支持,进一步促进研究成果转化与推广,2024年1月上旬,重庆医科大学附属第一医院赵庆华教授团队依托国家社会科学基金项目《家庭生命周期视角下失能老人家庭差异化社会支持模式构建研究》(项目编号21BRK013),在重庆医科大学附属璧山医院(重庆市璧山区人民医院)举行了国家社会科学基金项目研学基地授牌仪式。
2024-01-25
近日,重庆市咯血联盟成立大会成功召开,我院成为“重庆市咯血联盟成员单位”,这是对我院呼吸与危重症医学科牵头的咯血中心工作的高度认可。
2024-01-25
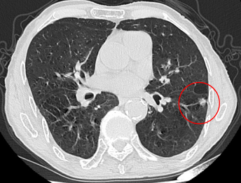
近日,重庆医科大学附属璧山医院(重庆市璧山区人民医院)呼吸介入团队成功为一名九旬高龄患者进行了高危肺结节微波消融术,术后恢复良好。
2024-01-25
1月18日下午,重庆市卫健委卒中中心评审专家组一行莅临我院,进行三级卒中中心建设单位现场评审。区卫健委副主任周鸣、我院院长郭进军、副院长刘碧翠、医务部主任闫庆凯以及相关科室主任陪同迎检。
2024-01-25
近日,重庆医科大学附属璧山医院(重庆市璧山区人民医院)眼科、麻醉科、手术室通力协作,助一位有脑梗病史的老年患者恢复光明。
2023-07-18
2023-07-18
近日,从《重庆市卫生健康委员会办公室关于下达2023年度重庆市临床重点专科建设项目立项的通知》中获悉,全市共67家医院,189个专科参评,经过材料审核和现场答辩评审,并挂网公示无异议,我院消化内科、眼科、临床护理三个学科光荣上榜,确定为重庆市临床重点专科建设项目。
2023-07-14
近日,重庆医科大学附属璧山医院(重庆市璧山区人民医院)手足外科团队完成一例左上肢淋巴水肿超显微外科手术。该手术的成功开展,标志着医院在该领域实现新的突破。
2023-07-06